Monday, August 8, 2011

A Little Scare and Doctor Visit #3

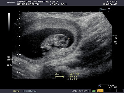
Tuesday, I had a little scare -- a small amount of bleeding, but since, up to this point, I have had none, I was very, very nervous and more than a little upset.  On Wednesday, I had an ultrasound to check on things (I think this was more for my peace of mind than anything), and our little peanut is doing just great!  It actually looks like a baby now and I got to see it kicking its little legs and moving its arms.  It was so relieving!  It is now about 33 mm long and had a heart rate of 160.  It has grown so much!  Just think, at 7 weeks, it was only 7 mm!


You can see its little face and its arms and legs!!  I can't wait until I can call it something other than "it."


On Friday, I went for my normal checkup and my doctor confirmed that everything looks good.  We listened to the heartbeat, at a solid 166 beats per minute.  She also went over my blood test results with me.  I found out my blood type is B+, so if any of you out there ever need some B+ blood, I'm your girl.  And apparently my hemoglobin levels are excellent and I have no irregular antibodies :)

This weekend was a big reveal weekend.  We told a lot of friends and family about our little bundle of joy.  It's starting to feel real now! :)

No comments:

Post a Comment